Hírek
2016. Május 02. 13:56, hétfő |
Belföld
Forrás: mti
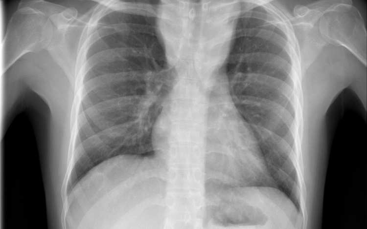
Terjed a tbc Szatymazon?
Hétfő reggel óta tbc-tesztet végeznek el a gyerekeken egy szatymazi általános iskolában, ahol egy hete fertőző tüdőbetegségben halt meg egy korábban ott dolgozó nő - közölték az M1 aktuális csatorna déli Híradójában.
A Délmagyar hírportál hétfő reggel írt arról, hogy februárig dolgozott a szatymazi iskolában közmunkásként az nő, aki tuberkulózisban (tbc) halt meg egy hete. Az ügyben rendkívüli szülői értekezletet tartottak. Az általános iskola 260 tanulója közül szülői beleegyezéssel 250-en végzik el a tbc-tesztet.
Az M1 tudósítója a helyszínről azt mondta: több szülővel beszéltek, ők nem voltak megriadva; elmondták, hogy az iskola azonnal tájékoztatta őket arról, mi történt a nővel, aki takarítóként dolgozott az iskolában február végéig. A tudósító megjegyezte, a tbc tüneteinek lappangási ideje 28-30 nap, ez az idő már letelt, de egyetlen gyereken sem tapasztaltak egyetlen tünetet sem.
Felidézték, hogy Magyarországon 1954 óta kötelező a tbc elleni védőoltás. Most az iskola diákjain biztonsági intézkedésként végzik el az úgynevezett Mantoux-tesztet, amely kimutatja, hogy védettek-e a tbc ellen. Ezt a tesztet később, három és hat nap múlva is megismétlik - hangzott el a Híradóban.
Április elején egy debreceni óvodában volt szükség hasonló intézkedésekre, mert az intézmény egyik dolgozója tüdőtuberkulózissal fertőződött meg.
Ezek érdekelhetnek még
2026. Május 06. 15:00, szerda | Belföld
Orbán Viktor: az önkény és az akarnokság korszakába lépünk
2026. Május 06. 14:00, szerda | Belföld
Tarr Zoltán: a Társadalmi Kapcsolatokért és Kultúráért Felelős Minisztériumot a szabadság, az autonómia tisztelete és a párbeszéd f
A Társadalmi Kapcsolatokért és Kultúráért Felelős Minisztérium működését a szabadság, az autonómia tisztelete és a párbeszéd fogja jellemezni -
2026. Május 06. 12:00, szerda | Belföld
Magyar Péter: Olaszország a mi otthonunk is, jó dolog, hogy visszatértünk Európába
- jelentette ki Magyar Péter leendő magyar miniszterelnök kedd este a Sestri Levante-i nemzetközi filmfesztiválon az Ansa olasz hírügynökség tudósítása szerint.
2026. Május 06. 11:00, szerda | Belföld
Hegedűs Zsolt: az átadás-átvétel során kiszámíthatóságra lehet számítani az egészségügyben
A kormányváltás során és azt követően is stratégiai nyugalomra, kiszámíthatóságra és felelős átadás-átvételre lehet számítani az egészségügyben
